Modern and permanent solution for a lost tooth
Losing a tooth no longer means having to settle for an uncomfortable prosthesis or a visible gap. Modern implantology today offers a solution that looks and functions like your own tooth. A dental implant replaces a lost tooth permanently, safely and without the need to grind down healthy neighboring teeth. Thanks to precise processing and gentle procedures, you will return to a natural smile and confidence when eating, speaking and laughing.

What is a dental implant?
What does a dental implant look like and work like?
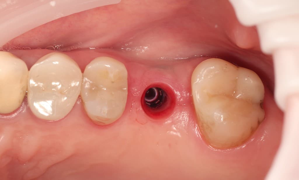
A dental implant is an artificial replacement for a tooth root. Most often, it is a titanium screw that is inserted directly into the bone and serves as a replacement for the tooth root. After healing (usually 2-3 months), a crown (or other dental prosthesis) is attached to it, which will blend perfectly with your smile. Thanks to modern materials and gentle procedures, implantation is now safe and painless.
In certain cases, so-called immediate implant loading is possible – i.e. the placement of a temporary crown immediately after the implant is inserted. This procedure is most often chosen in the anterior (aesthetic) section of the dentition , where the appearance of the smile is key and the patient does not want to leave with a visible gap. After healing, the temporary crown is then replaced with a definitive aesthetic replacement.
Thanks to advances in implantology, age no longer plays a crucial role today – all that matters is that the bone is healthy and strong enough to anchor the implant.
Implants can be used both to replace a single tooth and for more extensive dental reconstruction.
The advantages of implants are their long lifespan, natural appearance, full functionality and comfort – you will forget that you were missing a tooth at all.
When is implantation appropriate?

How is a tooth implant performed?
From the first consultation to a new smile
- Vstupní konzultace a vyšetření
Lékař zhodnotí stav vašeho chrupu a čelisti, provede 3D rentgen nebo CT a připraví individuální plán ošetření. Vysvětlí celý postup i časový rámec. - Zavedení implantátu
Titanový implantát se šetrně zavede do čelisti v lokální anestezii. Zákrok je bezbolestný, trvá zhruba 30–60 minut a ihned po něm můžete odejít domů. - Fáze hojení a srůstání s kostí (osseointegrace)
Během několika měsíců implantát pevně sroste s kostí a vytvoří stabilní základ pro nový zub. - Nasazení korunky
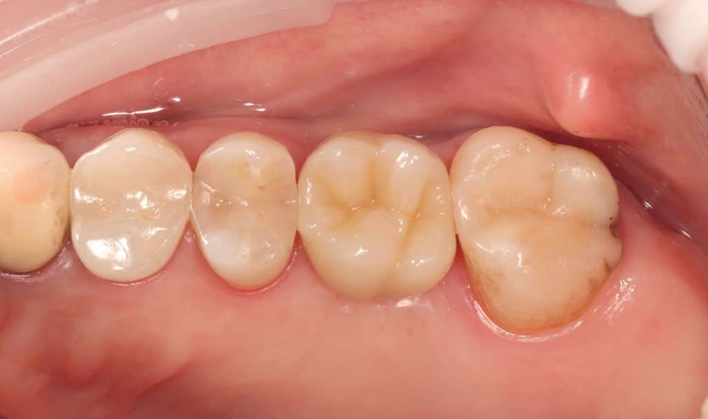
Po zhojení se na implantát upevní finální korunka z keramiky nebo zirkonu. Je k nerozeznání od přirozeného zubu a plně obnoví estetiku i funkci vašeho chrupu.
Naše klinika klade důraz na preciznost, bezbolestnost a osobní přístup – každý krok vám podrobně vysvětlíme a vše probíhá v klidné, komfortní atmosféře.
How much does a dental implant cost?
Investing in the health and confidence of your smile
The price of a dental implant depends on the type of implant used, the restoration and the scope of the procedure. We will be happy to provide you with an accurate calculation after an initial consultation and X-ray examination.
Vraťte si zdravý úsměv a jistotu v každém dni
Objednejte se na implantologickou konzultaci a zjistěte, jaký postup je vhodný právě pro vás

Check out our implantology transformations
Frequently asked questions
No. The procedure is performed under local anesthesia, so you will not feel any pain during the procedure. After the procedure, you may experience some mild swelling or tenderness, which usually subsides within a few days.
With proper care and regular check-ups, an implant can last for decades – often a lifetime.
From implant placement to crown placement, it usually takes 2-3 months, depending on individual healing.
Maintenance is the same as for your own teeth – regular cleaning, dental hygiene and check-ups at the dentist. This is what will ensure that the implant lasts as long as possible.
A patient with sufficient bone structure, healthy gums and overall good oral hygiene.