Zubní implantáty Brno
Moderní a trvalé řešení ztraceného zubu
Ztráta zubu už dávno neznamená, že se musíte spokojit s nepohodlnou protézou nebo viditelnou mezerou. Moderní implantologie dnes nabízí řešení, které vypadá i funguje jako váš vlastní zub. Zubní implantát nahradí ztracený zub trvale, bezpečně a bez nutnosti obrušovat zdravé sousední zuby. Díky preciznímu zpracování a šetrným postupům se vrátíte k přirozenému úsměvu i jistotě při jídle, mluvení a smíchu.
Co je zubní implantát
Jak vypadá a funguje zubní implantát?
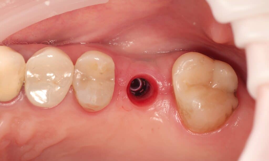
Zubní implantát je umělá náhrada zubního kořene. Nejčastěji jde o titanový šroubek, který se zavádí přímo do kosti a slouží jako náhrada kořene zubu. Na něj se po zhojení (většinou 2–3 měsíce) upevní korunka (případně jiná zubní náhrada), která dokonale splyne s vaším úsměvem. Díky moderním materiálům a šetrným postupům dnes implantace probíhá bezpečně a bezbolestně.
V určitých případech je možné tzv. immediátní zatížení implantátu – tedy nasazení provizorní korunky ihned po zavedení implantátu. Tento postup se nejčastěji volí v předním (estetickém) úseku chrupu, kde je klíčový vzhled úsměvu a pacient nechce odcházet s viditelnou mezerou. Po zhojení je pak provizorní korunka nahrazena definitivní estetickou náhradou.
Díky pokroku v implantologii dnes nehraje věk zásadní roli – důležité je pouze to, aby byla kost zdravá a dostatečně silná pro ukotvení implantátu.
Implantáty mohou být použity jak pro náhradu jednotlivého zubu, tak i při rozsáhlejší rekonstrukci chrupu.
Výhody implantátů spočívají v dlouhé životnosti, přirozeném vzhledu, plné funkčnosti a pohodlí – zapomenete, že vůbec nějaký zub chyběl.
Kdy je implantace vhodná?
Jak probíhá implantace zubu?
Od první konzultace až po nový úsměv
- Vstupní konzultace a vyšetření
Lékař zhodnotí stav vašeho chrupu a čelisti, provede 3D rentgen nebo CT a připraví individuální plán ošetření. Vysvětlí celý postup i časový rámec. - Zavedení implantátu
Titanový implantát se šetrně zavede do čelisti v lokální anestezii. Zákrok je bezbolestný, trvá zhruba 30–60 minut a ihned po něm můžete odejít domů. - Fáze hojení a srůstání s kostí (osseointegrace)
Během několika měsíců implantát pevně sroste s kostí a vytvoří stabilní základ pro nový zub. - Nasazení korunky
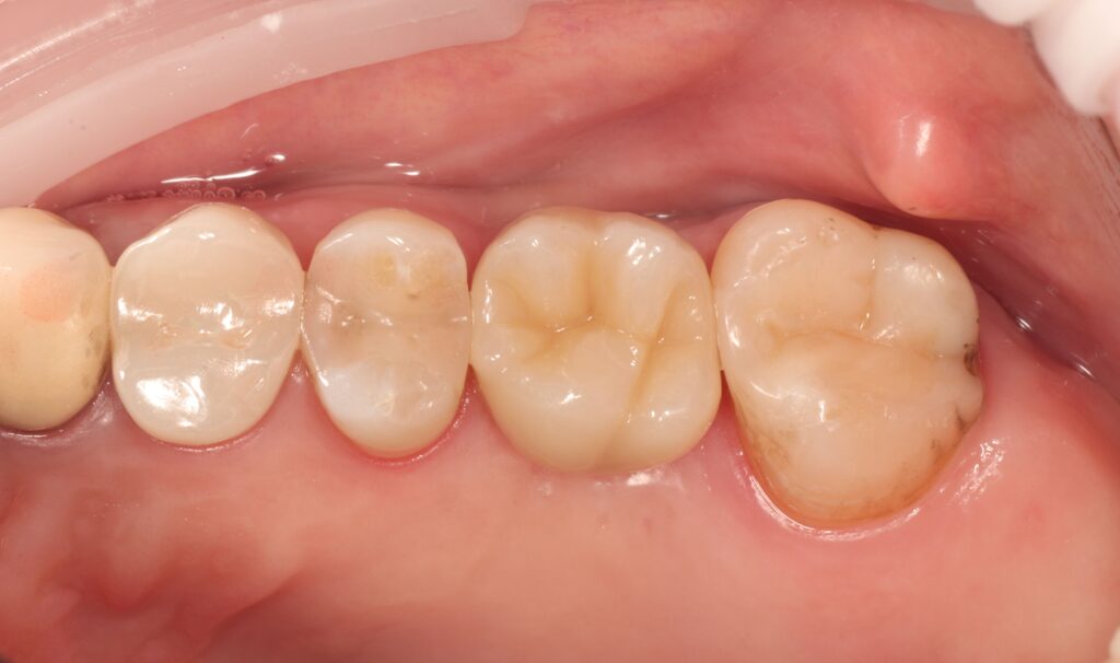
Po zhojení se na implantát upevní finální korunka z keramiky nebo zirkonu. Je k nerozeznání od přirozeného zubu a plně obnoví estetiku i funkci vašeho chrupu.
Naše klinika klade důraz na preciznost, bezbolestnost a osobní přístup – každý krok vám podrobně vysvětlíme a vše probíhá v klidné, komfortní atmosféře.
Kolik stojí zubní implantát
Investice do zdraví a jistoty vašeho úsměvu
Cena zubního implantátu se odvíjí od typu použitého implantátu, náhrady a rozsahu výkonu. Přesnou kalkulaci vám rádi připravíme po vstupní konzultaci a rentgenovém vyšetření.
Vraťte si zdravý úsměv a jistotu v každém dni
Objednejte se na implantologickou konzultaci a zjistěte, jaký postup je vhodný právě pro vás
Podívejte se na naše implantologické proměny
Často kladené otázky
Pacient s dostatečnou kostní strukturou, zdravými dásněmi a celkově dobrou ústní hygienou.
Údržba je stejná jako u vlastních zubů – pravidelné čištění, dentální hygiena a kontroly u zubaře. Právě díky nim implantát vydrží co nejdéle.
Od zavedení implantátu po nasazení korunky obvykle 2–3 měsíce, v závislosti na individuálním hojení.
Při správné péči a pravidelných kontrolách může implantát vydržet desítky let – často i celý život.
Ne. Zákrok probíhá v lokální anestezii, takže během výkonu necítíte žádnou bolest. Po zákroku se může objevit mírný otok nebo citlivost, která obvykle do několika dní odezní.
