Dental hygiene Brno
Dental hygiene as the basis of a healthy smile
Dental hygiene is regular professional care of teeth and gums that removes plaque, tartar and pigmentation. It helps prevent tooth decay, gingivitis and periodontitis and keeps teeth clean, healthy and aesthetic. It is suitable for anyone who wants to protect their teeth in the long term and avoid the need for procedures in the dentist’s chair.
What does dental hygiene include?
Professional care for teeth and gums
Dental hygiene is a professional cleaning of teeth and gums that removes tartar, plaque and pigmentation while helping to prevent cavities and gingivitis. During the treatment, ultrasonic and manual instruments are used to remove hard tartar, AirFlow sandblasting to remove pigmentation, and teeth are polished to make them smooth and less prone to new deposits. The visit also includes home care instructions , where the patient receives advice on how to properly clean teeth and interdental spaces and how to use brushes, floss or other aids for long-term dental protection.
Quality dental hygiene is the foundation of healthy teeth – no dental work, whether it’s fillings, crowns or implants, can be functional in the long term without regular and proper care of your teeth and gums.
Good dental health and a high level of dental hygiene are also essential if you are planning to whiten your teeth , as removing plaque and tartar will ensure an even whitening effect.
Dental hygiene is suitable for patients who:
How dental hygiene is done
Step by step to clean teeth
-
Examination and consultation
-
Ultrasonic and manual tartar removal
-
AirFlow sandblasting and polishing of teeth
-
Fluoridation and protective care
-
Instruction and home care
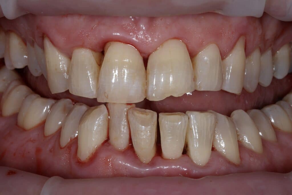
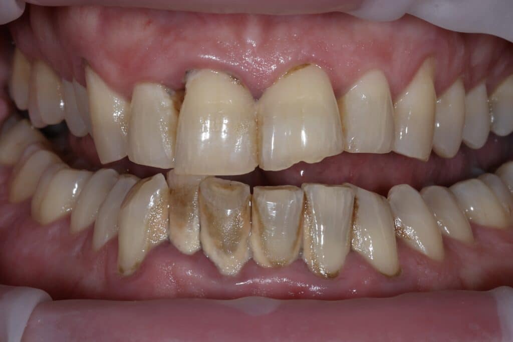
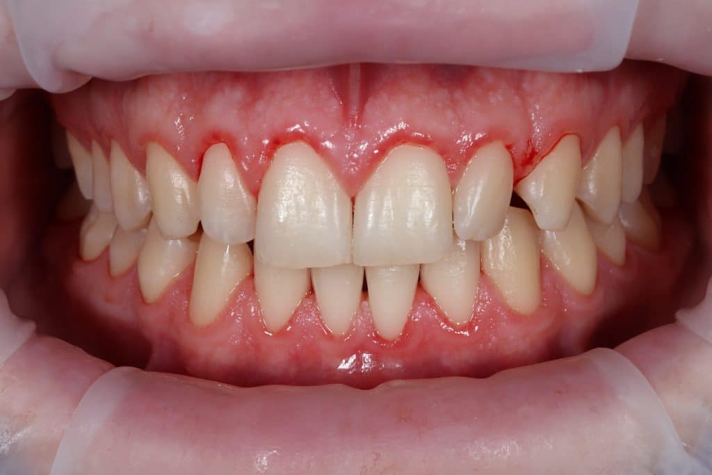
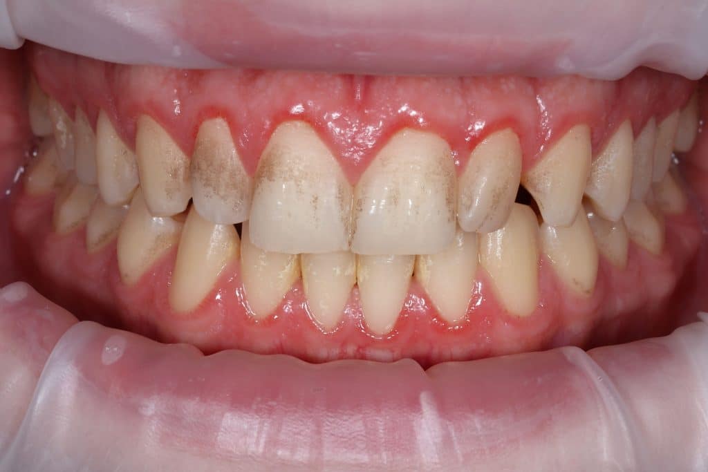
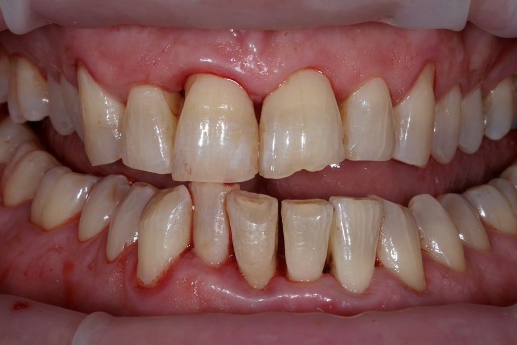
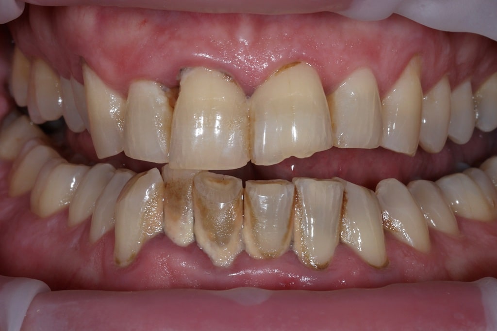
Check out our dental hygiene transformations
Dental hygiene price
Investing in a beautiful smile
Get your healthy smile and confidence back
Book a consultation and find out which procedure is right for you



