Teeth whitening Brno
Get sparkling white teeth
Teeth whitening is a procedure that lightens the color of teeth and removes stains caused by food, drinks, or smoking. It is performed with professional whitening gels under the supervision of a specialist . It is suitable for patients with good teeth and gums who want to improve their smile and feel confident.
How teeth whitening works
A reliable way to have whiter teeth
Teeth whitening is a professional procedure that uses whitening gels to safely lighten tooth enamel and remove pigmentation caused by food, drinks, or smoking. Before the treatment itself, it is important that the teeth are clean and healthy, so it is recommended to undergo dental hygiene.
In our office we offer home teeth whitening , which allows the patient to use individually prepared trays with gel at home according to the instructions of a specialist. This method is convenient, safe and allows you to achieve uniform whitening of the teeth. During home whitening, temporary tooth sensitivity may occur, which usually subsides after the entire whitening treatment is completed. In our clinic, we work with White Dental Beauty home teeth whitening gels.
The procedure also includes checking the condition of your teeth and gums and advice on how to care for your teeth after whitening so that the effect lasts as long as possible.
Teeth whitening is suitable for patients who:
How is teeth whitening done?
Home teeth whitening step by step
-
Consultation, dental hygiene and teeth impression
-
Applying the whitening gel
-
Whitening time
-
Checking the result and maintenance care
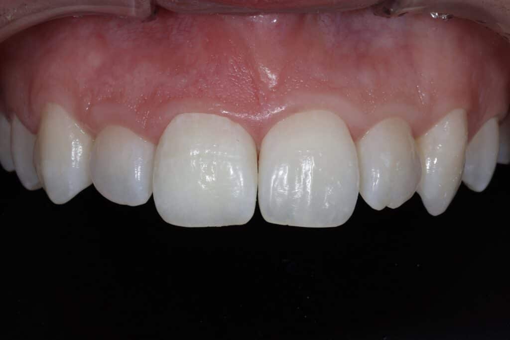
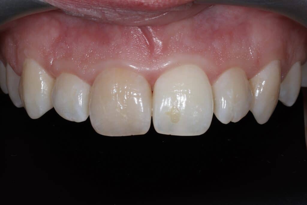
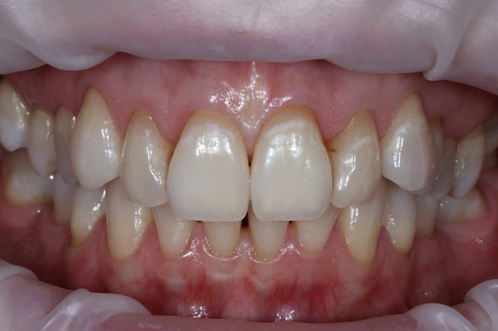
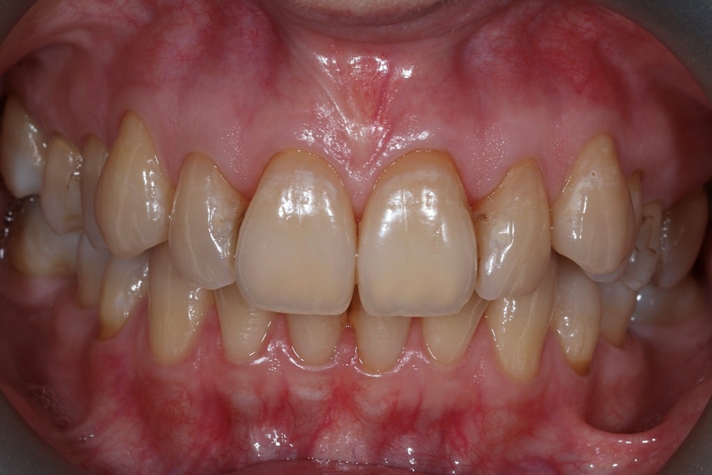
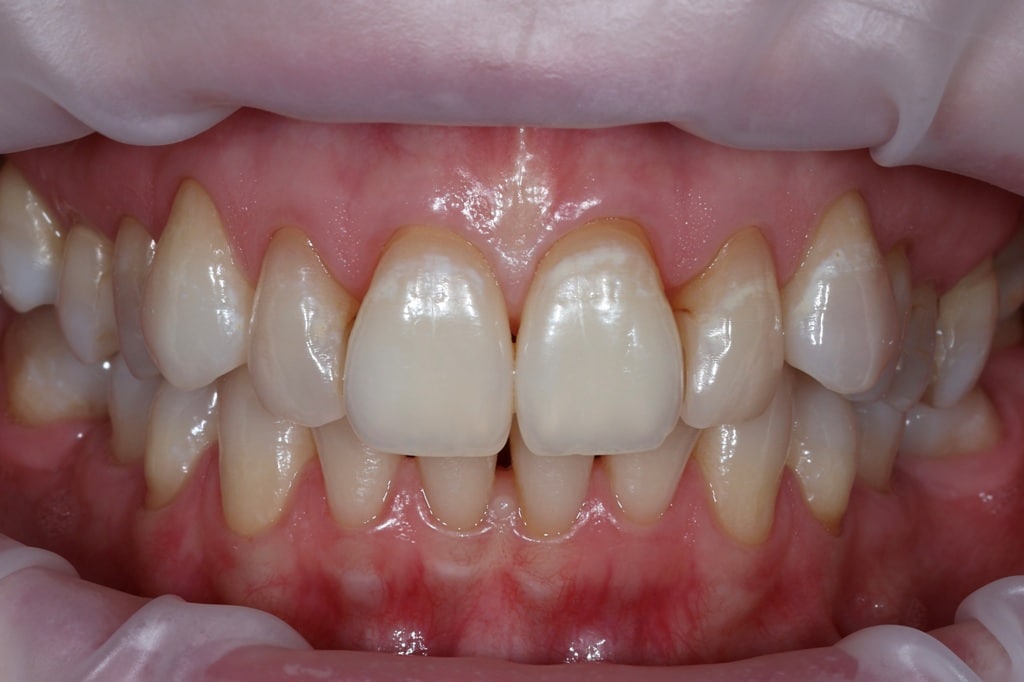
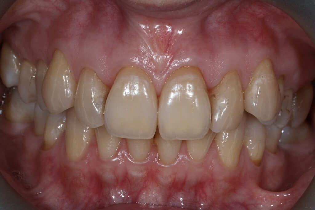
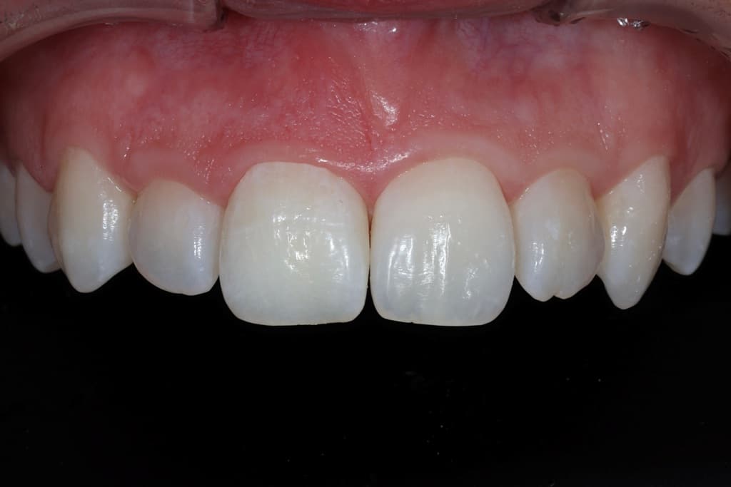
See the whitening results of our patients
How much does teeth whitening cost?
Investing in a radiant smile
Get your healthy smile and confidence back
Book a consultation and find out which procedure is right for you



