Dentální hygiena Brno
Dentální hygiena jako základ zdravého úsměvu
Dentální hygiena je pravidelná odborná péče o zuby a dásně, která odstraňuje plak, zubní kámen a pigmentace. Pomáhá předcházet zubnímu kazu, zánětu dásní a paradontóze a udržuje chrup čistý, zdravý a estetický. Je vhodná pro všechny, kdo chtějí dlouhodobě chránit své zuby a předejít nutnosti zákroků v křesle zubního lékaře.
Co zahrnuje dentální hygiena
Profesionální péče o zuby a dásně
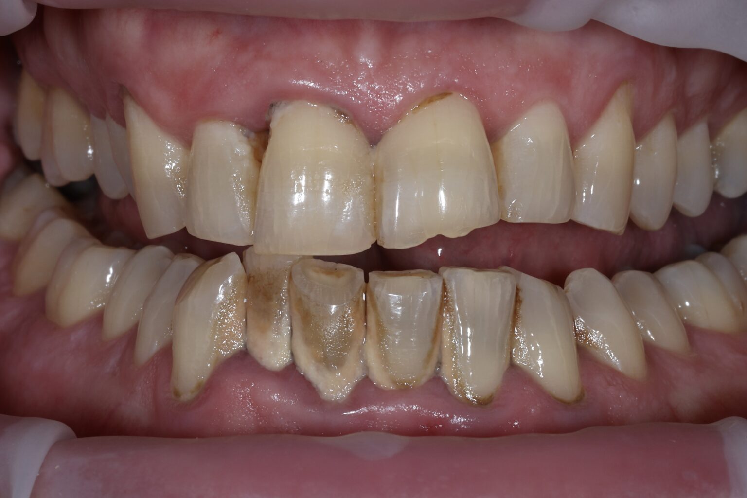
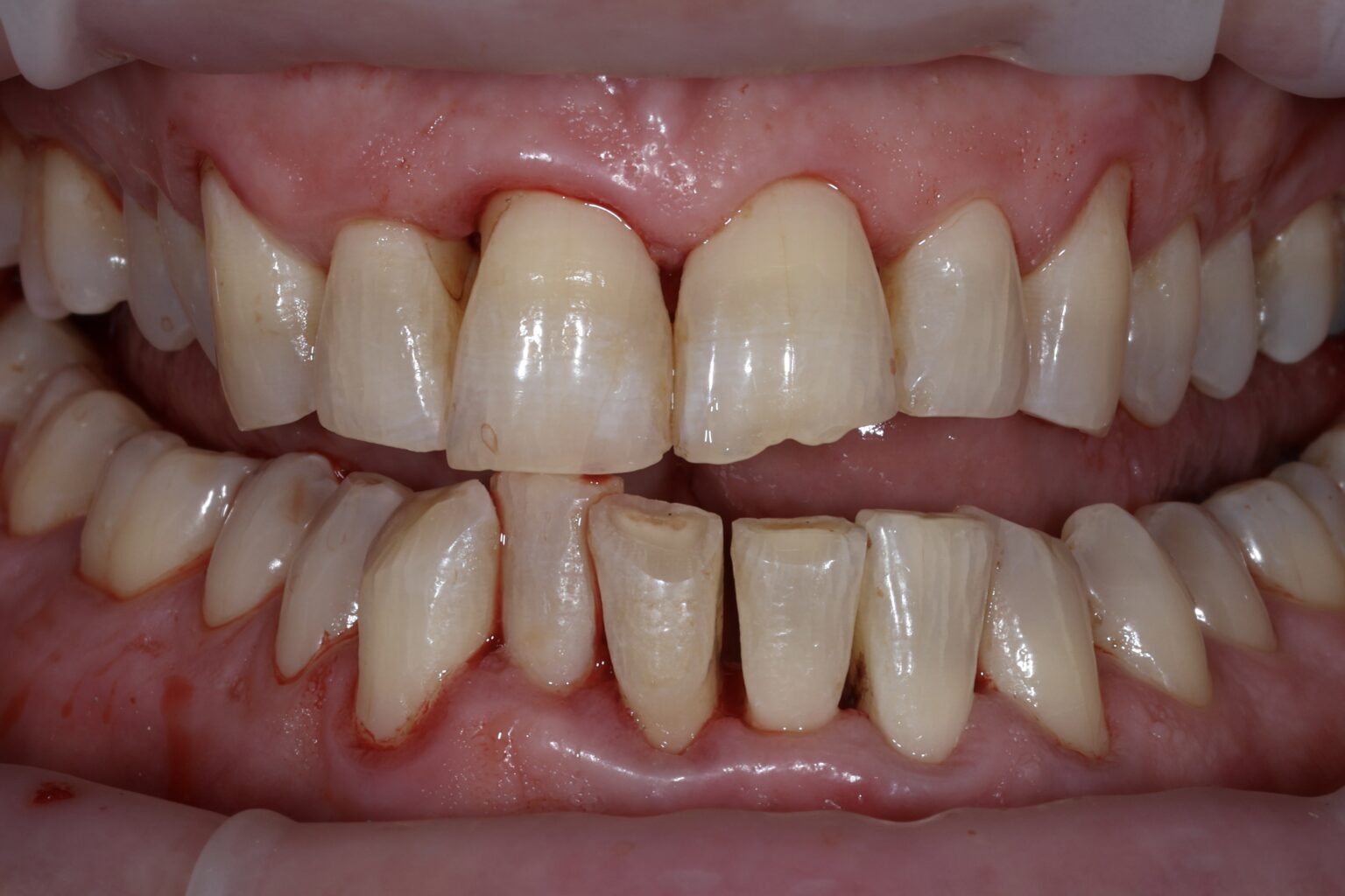
Dentální hygiena je profesionální čištění zubů a dásní, které odstraňuje zubní kámen, plak a pigmentace a zároveň pomáhá předcházet kazu a zánětům dásní. Během ošetření se používají ultrazvukové a ruční nástroje k odstranění tvrdého zubního kamene, AirFlow pískování k odstranění pigmentací a leštění zubů, aby byly hladké a méně náchylné k usazování nových nánosů. Součástí návštěvy je také instruktáž domácí péče, kde pacient získá rady, jak správně čistit zuby a mezizubní prostory a jak používat kartáčky, nitě či jiné pomůcky pro dlouhodobou ochranu chrupu.
Kvalitní dentální hygiena je základem zdravého chrupu – žádná stomatologická práce, ať už jde o výplně, korunky nebo implantáty, nemůže být dlouhodobě funkční bez pravidelné a správné péče o zuby a dásně.
Dobrý stav zubů a vysoká úroveň dentální hygieny je nezbytná i tehdy, pokud plánujete bělení zubů, protože odstranění plaku a zubního kamene zajistí rovnoměrný efekt bělení.
Dentální hygiena je vhodná pro pacienty, kteří:
Jak probíhá dentální hygiena
Krok za krokem k čistým zubům
- Vyšetření a konzultace
Hygienistka nebo dentista zhodnotí stav zubů a dásní, identifikuje nánosy plaku, zubního kamene a pigmentace a doporučí vhodný postup. - Ultrazvukové a ruční odstraňování zubního kamene
Zubní kámen a plak se odstraní ultrazvukovými a jemnými ručními nástroji, aniž by byla poškozena sklovina či dásně. - AirFlow pískování a leštění zubů
Pomocí AirFlow zařízení se odstraní pigmentace a povrch zubu se vyhladí, aby se zpomalilo usazování plaku a zuby získaly hladký a čistý vzhled. - Fluoridace a ochranná péče
Na závěr se aplikuje fluoridový gel nebo lak, který posiluje sklovinu a pomáhá předcházet vzniku kazu. - Instruktáž a domácí péče
Hygienistka poradí, jak správně čistit zuby a mezizubní prostory, doporučí vhodné pomůcky a interval návštěv pro dlouhodobou ochranu zubů.
Cena dentální hygieny
Investice do krásného úsměvu
Vraťte si zdravý úsměv a jistotu v každém dni
Objednejte se na implantologickou konzultaci a zjistěte, jaký postup je vhodný právě pro vás
Podívejte se na naše proměny v rámci dentální hygieny
Často kladené otázky
Dentální hygiena zahrnuje odstranění zubního kamene, pískování (AirFlow), leštění zubů a instruktáž správné domácí péče.
Ošetření je většinou zcela bezbolestné, někdy může být citlivější oblast během odstraňování zubního kamene.
Ideálně každých 6 měsíců, u rizikových pacientů i častěji.
