Objednat se

Bělení zubů Brno

Získejte zářivě bílé zuby

Bělení zubů je zákrok, který zesvětluje barvu zubů a odstraňuje skvrny způsobené jídlem, nápoji nebo kouřením. Provádí se profesionálními bělicími gely pod dohledem specialisty. Je vhodný pro pacienty s dobrým stavem zubů a dásní, kteří chtějí svůj úsměv zlepšit a cítit se sebejistě.

Objednat se na konzultaci
M2Stoma ordinácia (17)

Jak funguje bělení zubů

Spolehlivý způsob jak mít bělejší zuby

Bělení zubů je profesionální zákrok, při kterém se používají bělicí gely, jež bezpečně zesvětlují zubní sklovinu a odstraňují pigmentace způsobené potravou, nápoji nebo kouřením. Před samotným ošetřením je důležité, aby byly zuby čisté a zdravé, proto se doporučuje absolvovat dentální hygienu.

V naší ordinaci nabízíme domácí bělení zubů, které umožňuje pacientovi používat individuálně připravené nosiče s gelem doma podle pokynů specialisty. Tento způsob je pohodlný, bezpečný a umožňuje dosáhnout rovnoměrného zesvětlení zubů. Během domácího bělení se může objevit dočasná citlivost zubů, která obvykle ustupuje po dokončení celé bělicí kúry. Na naší klinice pracujeme s gely pro domácí bělení zubů značky White Dental Beauty.

Součástí zákroku je také kontrola stavu zubů a dásní a rady, jak pečovat o zuby po bělení, aby efekt vydržel co nejdéle.

Bělení zubů je vhodné pro pacienty, kteří:

mají zuby se skvrnami nebo zabarvením způsobeným jídlem, nápoji nebo kouřením
chtějí bělejší zuby a lepší estetiku svého úsměvu
M2Stoma ordinácia (13)

Jak probíhá bělení zubů?

Domácí bělení zubů krok za krokem

  1. Konzultace, dentální hygiena a otisk zubů
    Lékař nebo dentální hygienistka nejprve zhodnotí stav vašeho chrupu a dásní kvůli zhodnocení, zda je bělení vhodné. Součástí přípravy je profesionální dentální hygiena, která odstraní zubní kámen a povrchové pigmentace pro rovnoměrný výsledek. Následně se zhotoví přesný otisk zubů, podle kterého se do pár dnů vyrobí individuální bělicí nosiče.
  2. Aplikace bělicího gelu
    Do individuálních nosičů si doma aplikujete předepsané množství bělicího gelu s bezpečnou koncentrací účinné látky. Nosiče se nasazují podle pokynů – obvykle na několik hodin denně nebo přes noc.
  3. Doba bělení
    Celý proces domácího bělení trvá přibližně 10–14 dní, v závislosti na požadovaném odstínu a individuální citlivosti zubů.
  4. Kontrola výsledku a udržovací péče
    Po ukončení bělení následuje kontrola u lékaře, který zhodnotí výsledek a doporučí, jak bělený odstín udržet – například pomocí krátké doplňovací kúry jednou za několik měsíců.

Kolik stojí bělení zubů

Investice do zářivého úsměvu

Domácí bělení zubů
6 650 Kč

Vraťte si zdravý úsměv a jistotu v každém dni

Objednejte se na implantologickou konzultaci a zjistěte, jaký postup je vhodný právě pro vás

Objednat se na konzultaci
Image (2) min

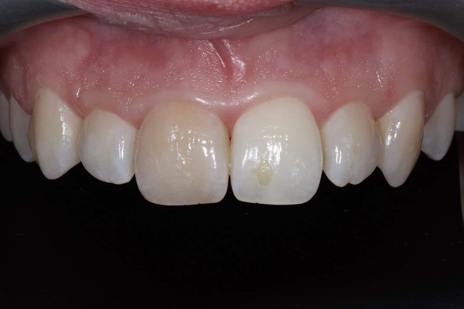
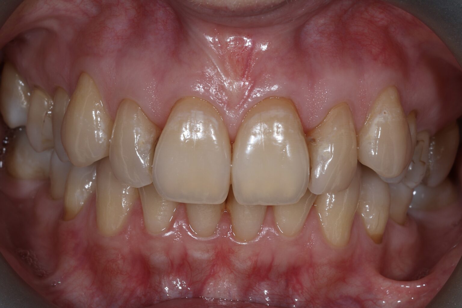
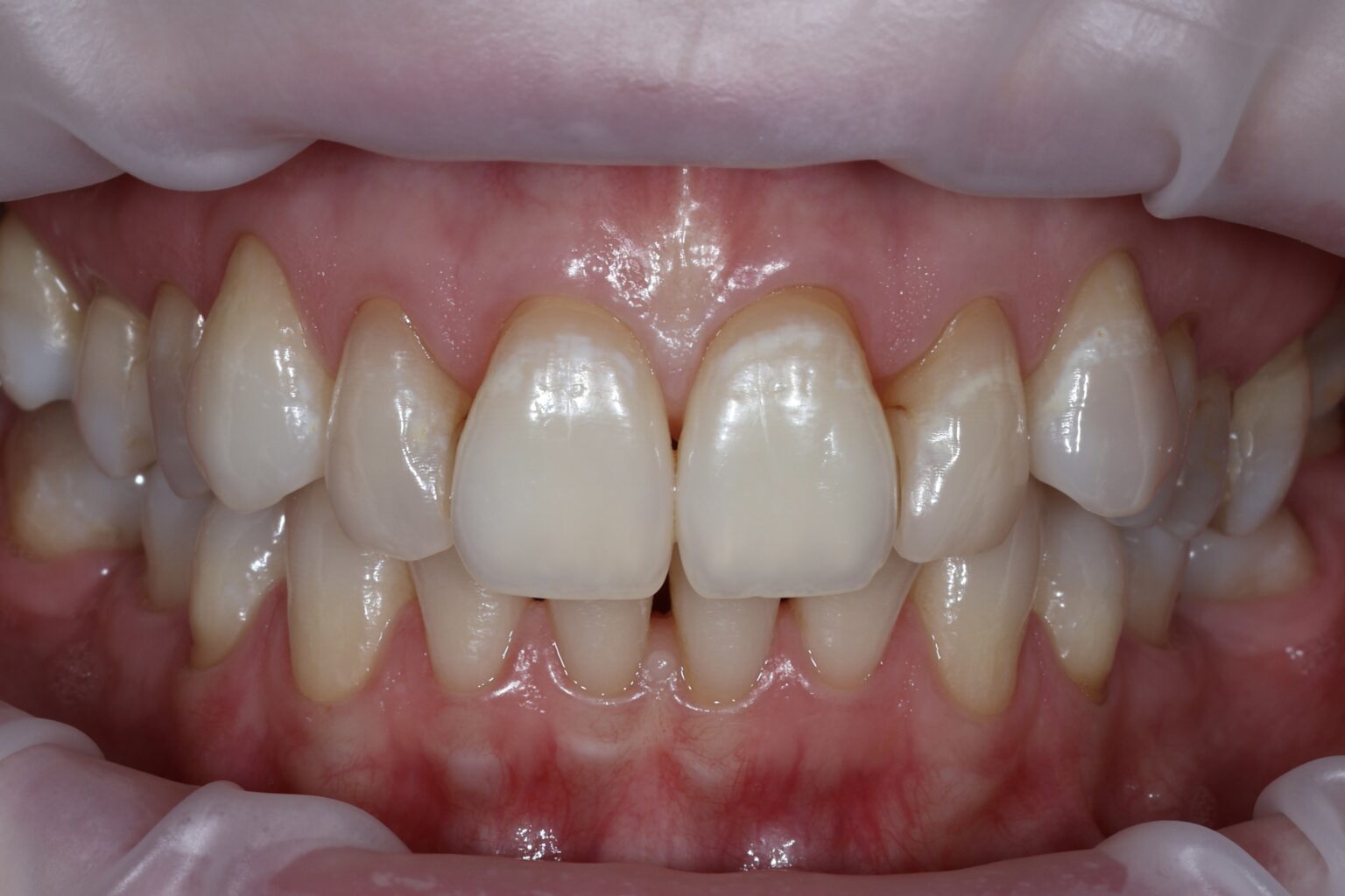
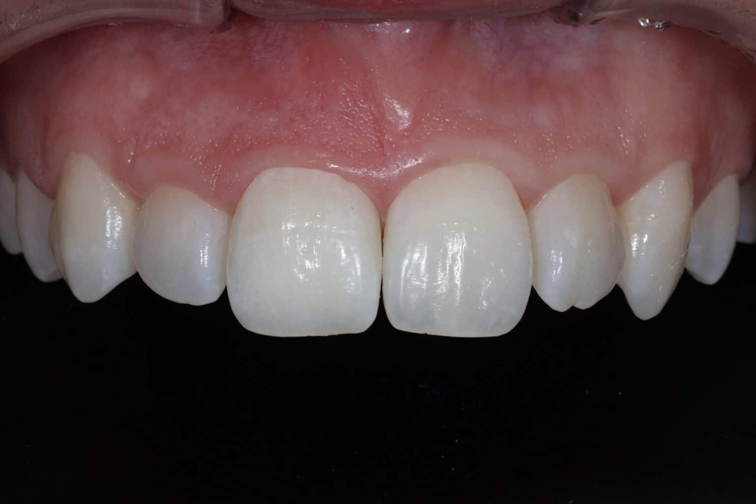
Podívejte se na výsledky bělení u našich pacientů

Pred
Po
Pred4
IMG

Často kladené otázky

Délka účinku závisí na stravovacích návycích, životním stylu a udržovací terapii. Při pravidelném používání bělicího gelu doma nebo v ordinaci může efekt trvat i několik let.

Ano, čisté a zdravé zuby jsou nezbytné pro rovnoměrný a bezpečný výsledek.

Zákrok je většinou bezbolestný, občas může být pociťována krátkodobá citlivost, která je ale pouze dočasná.

Ano, pokud se provádí pod dohledem odborníka a jsou zdravé zuby a dásně.