Obnovení funkce i vzhledu zubů
Chybějící nebo poškozené zuby mohou omezovat žvýkání, mluvení i sebevědomí. Protetická stomatologie nabízí řešení, které obnovuje jak funkci, tak estetiku chrupu. Díky moderním materiálům a technikám můžete mít pevný chrup a přirozený úsměv, aniž byste museli obětovat zdravé okolní zuby.
Je řešením pro každého, kdo chce nahradit chybějící zuby nebo posílit poškozené zuby korunkou, můstkem či zubní náhradou.
Co vše dokáže protetická stomatologie
Korunky, můstky a náhrady pro plnohodnotný chrup
Protetická stomatologie zahrnuje všechna řešení, která nahrazují nebo obnovují chybějící či poškozené zuby. Mezi nejčastější patří:
-
Korunky – pevné krytí poškozeného zubu, které obnovuje tvar, funkci a vzhled, aniž by se poškozovaly sousední zuby.
-
Můstky – nahrazují jeden nebo více chybějících zubů a jsou upevněny na okolních zubech.
-
Snímatelné náhrady – částečné nebo celkové protézy, které doplňují chybějící zuby, pokud nelze použít implantáty nebo můstky.
- Fazety – tenké keramické nebo kompozitní plátky, které zakrývají přední plochy zubů a řeší estetické vady, jako jsou zbarvení, nerovnosti nebo drobná poškození zubu.
Protetika se často kombinuje s implantáty, aby výsledek byl pevný a estetický. Cílem je obnovit plnohodnotnou funkci chrupu a vzhled úsměvu.
Protetická stomatologie pomůže, pokud:
Jak probíhá protetické ošetření
Od přípravy po nový chrup krok za krokem
Proces protetického ošetření závisí na typu náhrady, ale obvykle zahrnuje tyto fáze:
- Konzultace a plánování
Lékař vyhodnotí stav chrupu a zubů, pořídí rentgenové snímky a navrhne optimální řešení – korunku, můstek nebo rozsáhlejší zubní náhradu. - Příprava zubu nebo čelistní kosti
Zuby se obrousí pro korunku či můstek, nebo se připraví čelist pro upevnění protézy či implantátu. - Odběr otisků a výroba náhrady
Zhotoví se přesné otisky a laboratorní model, na jehož základě se vyrobí korunka, můstek nebo náhrada přesně přizpůsobená vašemu chrupu. - Zkouška a nasazení
Hotová náhrada se nasadí a lékař upraví detaily tak, aby perfektně seděla a byla esteticky dokonalá. - Kontrola a údržba
Pravidelné kontroly zajistí dlouhou životnost náhrady, a případná úprava brání problémům s kousáním či tlakem na dásně.
Cena protetického ošetření
Investice do pohodlného a estetického chrupu
Vraťte si zdravý úsměv a jistotu v každém dni
Objednejte se na implantologickou konzultaci a zjistěte, jaký postup je vhodný právě pro vás
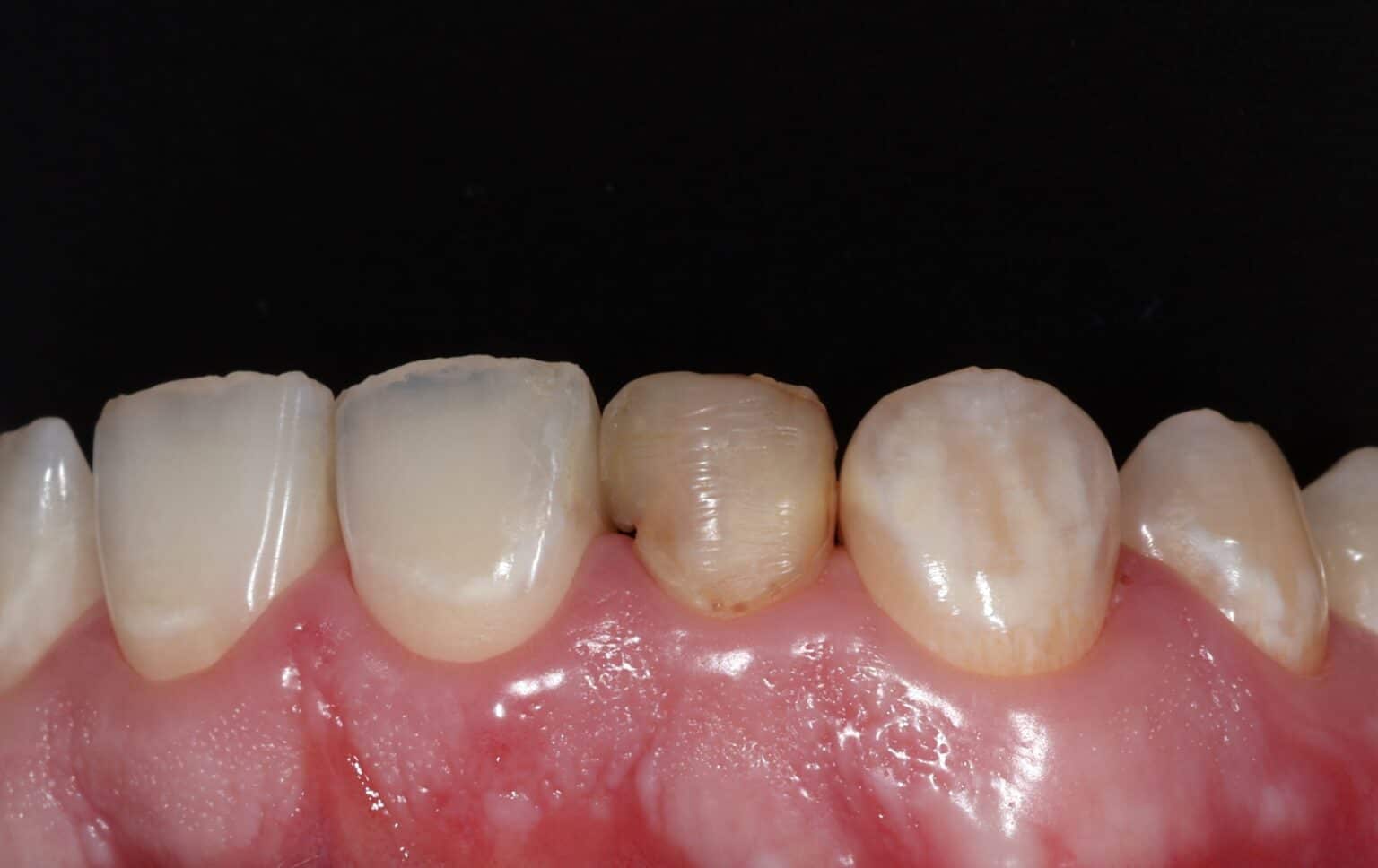
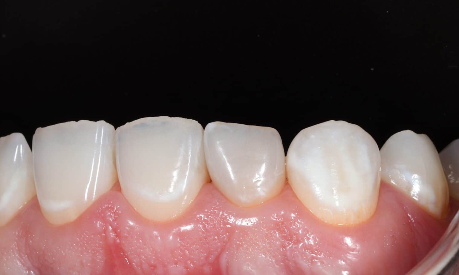
Podívejte se na naše protetické proměny
Často kladené otázky
Obvykle cca 10–15 let, při správné hygieně a pravidelných kontrolách i déle.
Ano, implantáty se často používají jako opora pro můstky nebo jednotlivé korunky, zejména pokud chybí více zubů a chceme dlouhodobý stabilní výsledek.
Stejně jako o vlastní zuby: pravidelné čištění, mezizubní kartáčky a návštěvy dentální hygienistky nebo kontroly u lékaře.
Samotné přípravy zubů i nasazení korunky probíhají v lokální anestezii, takže jsou bezbolestné.
Při správné péči a pravidelných kontrolách může korunka nebo můstek vydržet 10–20 let i déle.
